Our services

General Dentistry

At the core of your oral health is prevention and early intervention. Our general dentistry services focus on maintaining your dental and gum health, detecting issues early, and providing effective treatments to preserve your smile.

Dental Check-Ups & Cleans

Routine dental check-ups are essential for monitoring the health of your teeth, gums, and overall oral hygiene. Early detection of cavities, gum disease, or other concerns allows for simpler, more effective treatments.

We recommend a professional scale and clean every six months—although this may vary based on individual needs and your dentist's recommendations.

A professional clean includes:

  • Removal of hardened plaque and biofilm that cannot be removed by regular brushing or flossing at home.

  • Smoothing of tooth surfaces to remove plaque and surface stains.

  • Fluoride application to strengthen enamel, reduce sensitivity, and help protect against tooth decay.

Tooth Restorations (Fillings)

When a cavity or damaged tooth requires treatment, we use tooth-coloured composite resin to restore its function and appearance. These restorations are ideal for treating:

  • Cavities

  • Cracked or fractured teeth

  • Worn or misshapen teeth

Thanks to their natural, tooth-like appearance, these restorations blend seamlessly with your smile. They are also minimally invasive due to their strong adhesive properties, which reduce the need for excessive drilling.

Tooth Extractions

Tooth extractions, while common, can cause anxiety for many patients. Understanding the procedure and knowing what to expect afterward can ease concerns and aid in recovery.

Reasons for extraction include:

  • Trauma or injury to the tooth or jaw (e.g., sports injuries or accidents)

  • Severe tooth decay or advanced gum disease

  • Overcrowding or lack of space in the mouth

Whenever possible, we will explore alternative treatments before recommending extraction. Your dentist will guide you through your options to ensure you receive the most suitable care.

Cosmetic Dentistry

Cosmetic dentistry focuses on enhancing the appearance of your teeth and smile. From minor improvements to full smile makeovers, we offer a range of treatments designed to restore confidence and elevate your smile. Below are some of the most popular procedures in cosmetic dentistry.

Composite Buildups

Composite buildups involve the use of tooth-colored composite resin to address cosmetic concerns such as:

  • Discoloration

  • Chipping

  • Misalignment

  • Gaps between teeth

These buildups provide a durable, natural-looking solution to enhance your smile's appearance.

The process of getting composite buildups includes:

  1. Initial Consultation
    The dentist will assess your smile, discuss your cosmetic goals, and determine whether composite buildups are the right treatment for you.

  2. Treatment Planning
    A personalized treatment plan will be created. This plan involves discussions about the desired shape, color, and size of the teeth to achieve your aesthetic goals.

  3. Application
    The composite resin is applied and sculpted directly on the tooth to achieve the desired look. Once shaped, the resin is hardened with a special light.

  4. Final Adjustments
    After the resin has set, the dentist will make any final adjustments to ensure your teeth are smooth, natural-looking, and functional.

Teeth Whitening

Teeth whitening is one of the most popular cosmetic procedures, designed to lighten the color of your teeth and reduce the appearance of stains. It can provide a brighter, more youthful smile.

We offer two primary methods of teeth whitening:

In-Office Professional Whitening

  1. Initial Assessment
    Your teeth are examined to determine the cause of discoloration and to ensure your oral health is suitable for whitening.

  2. Preparation
    The gums and soft tissues are protected to prevent irritation from the whitening agent.

  3. Application of Whitening Agent
    A professional-strength whitening gel containing hydrogen peroxide or carbamide peroxide is applied to the teeth.

  4. Activation
    A special light or laser may be used to activate the whitening agent, accelerating the process and enhancing results.

  5. Multiple Sessions (Optional)
    Depending on your goals, additional sessions may be scheduled to achieve the desired level of whiteness.

At-Home Whitening Kits

  1. Custom Tray Creation
    An impression of your teeth is taken to create custom-fitted whitening trays.

  2. Whitening Gel Application
    A professional-grade whitening gel, usually at a lower concentration than in-office treatments, is applied to the trays.

  3. Home Use
    You will wear the trays for a specific period, typically a few hours each day or overnight, as instructed by the dentist.

  4. Regular Monitoring
    Follow-up appointments will be scheduled to monitor your progress and adjust the treatment if needed.

Considerations for Teeth Whitening

The effectiveness of teeth whitening varies depending on factors such as:

  • The cause of discoloration (age, food and drink stains, etc.)

  • The type of stains (surface vs. deeper internal stains)

  • Individual factors like tooth sensitivity

Professional supervision ensures a safer, more controlled whitening process compared to over-the-counter products. Good oral hygiene habits and lifestyle choices can also help maintain your whitening results for longer

Major Dentistry

Our major dentistry services focus on restoring function, structure, and aesthetics to your smile through advanced restorative and surgical dental treatments. Whether you're dealing with damaged, decayed, or missing teeth, our experienced team is here to deliver long-term solutions tailored to your needs.

Crowns & Bridges

Crowns and bridges are essential restorative options that not only rebuild tooth strength but also restore the appearance of your natural smile.

  • Crowns are custom-made caps that cover a damaged or weakened tooth to restore its shape, size, and strength.

  • Bridges are used to replace one or more missing teeth by anchoring to the surrounding natural teeth or implants.

We use high-quality, durable materials and modern techniques to ensure a precise fit, long-lasting results, and a natural-looking finish.

Dental Implants

Dental implants are a permanent solution for replacing missing teeth. They consist of a titanium post surgically placed into the jawbone, which acts as an artificial root for a prosthetic tooth or bridge.

Benefits of dental implants include:

  • A natural appearance and feel

  • Improved chewing and speaking function

  • Prevention of jawbone loss due to missing teeth

  • Long-lasting durability

Thanks to their biocompatible nature, implants integrate with the bone through a process called osseointegration, ensuring a strong and stable foundation for your new tooth.

Root Canal Therapy

Root canal therapy is performed to save a tooth that has become infected or inflamed due to:

  • Deep decay

  • Cracks or fractures

  • Trauma or impact to the tooth

During the procedure, the infected pulp is removed, the inside of the tooth is thoroughly cleaned, and the space is filled and sealed. A crown is often placed afterward to protect and strengthen the tooth.

Common symptoms indicating a need for root canal treatment include:

  • Sensitivity to hot or cold

  • Throbbing or spontaneous toothache

  • Pain when chewing or biting

  • Swelling around the affected tooth

Modern root canal treatments are safe, effective, and performed under local anaesthesia for minimal discomfort.

Dentures

Dentures are removable appliances designed to replace missing teeth and restore oral function and aesthetics. They are custom-fitted for comfort and effectiveness.

Types of dentures include:

  • Full dentures – for patients missing all teeth in one or both arches.

  • Partial dentures – for patients missing only some teeth.

Made primarily from acrylic resin, and sometimes reinforced with metal, dentures help with:

  • Improved speech and chewing

  • Supporting facial structure

  • Enhancing confidence and smile aesthetics

As the mouth naturally changes over time, dentures require regular adjustments and eventual replacement to maintain comfort and functionality.

Book Now

Visual Gallery

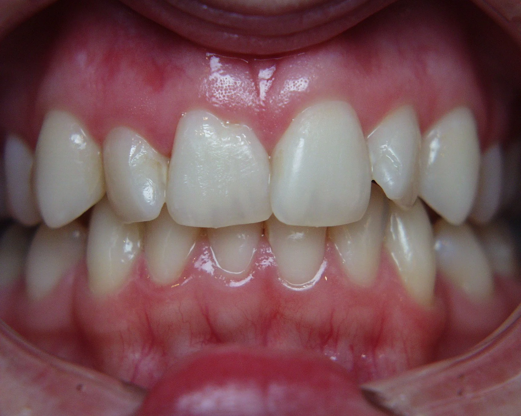
Composite Resin Buildups

Worn down lower teeth- turning back the clock in a day using resin buildups without any drilling of enamel. It's an affordable and durable solution to a problem which otherwise results in tooth loss...(the lower teeth we'll sort out another day!)

— Dr Mark Nathan

Ceramic Veneers

Ceramic veneers are thin, custom-made tooth-coloured ceramic material that are applied to the front surface of your teeth to improve their appearance. These veneers are designed to cover imperfections such as discoloration, chips, gaps, misalignment, and uneven teeth, providing a flawless, natural-looking smile.

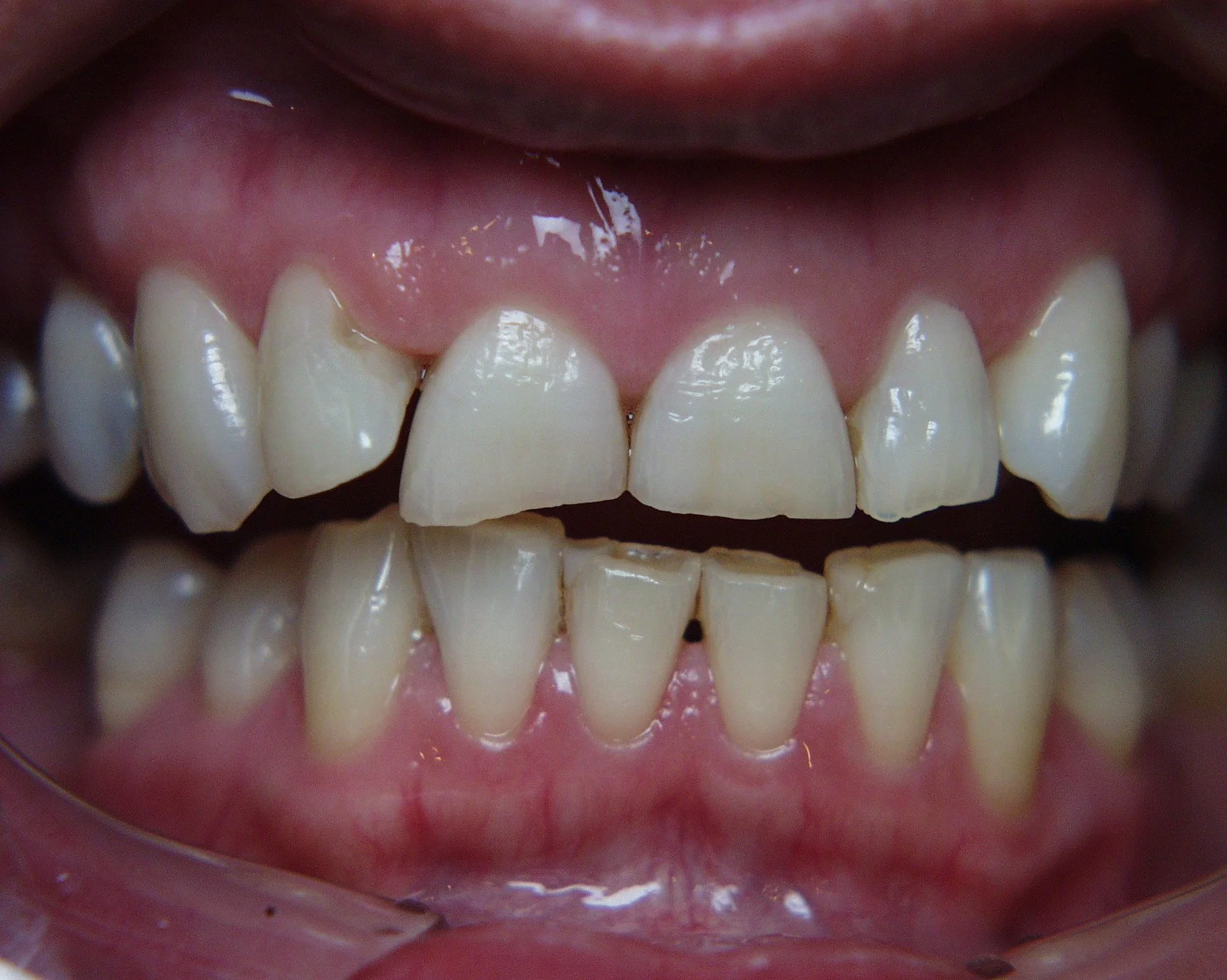
Replacing Amalgam Fillings

Amalgam fillings, commonly referred to as "silver fillings," have been used for many years to treat cavities. While they are durable and effective, some patients may seek to replace their amalgam fillings for various reasons, such as aesthetic concerns, safety considerations, or wear and tear. Replacing an old amalgam filling can restore the tooth’s function and appearance.


Replacing Amalgam Crowns

Over time, amalgam crowns can wear out, develop cracks, or cause discomfort. While they are durable and long-lasting, there are various reasons why you might need to replace an amalgam crown. Whether due to aesthetic concerns, wear and tear, or underlying dental issues, replacing an old amalgam crown can restore both function and appearance to your smile.

Implants

Mimicking nature with single tooth implants; we want these to last a lifetime. The X-ray shows the titanium implant in the centre of the photo. We've used this method to replace teeth in patients ranging in age from 18 to 82 years, and our practice was the first in regional W.A to provide this treatment in the early 1990's

— Dr Mark Nathan

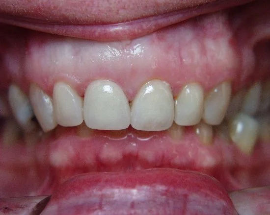
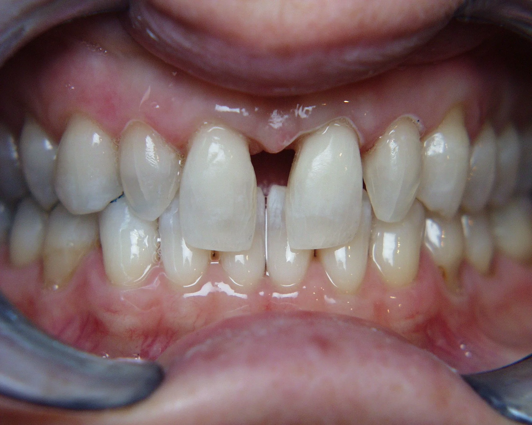
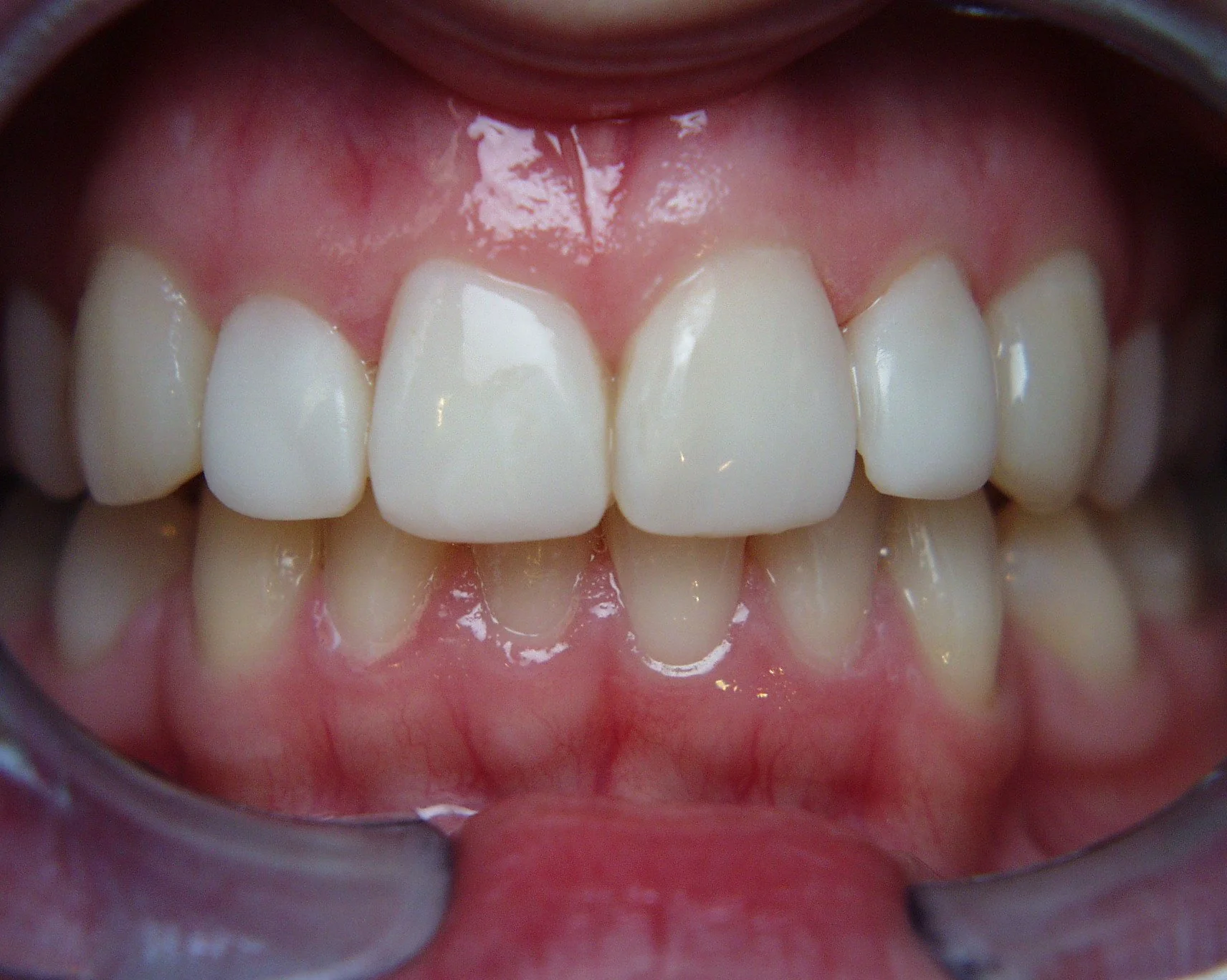
Resin Bonded Bridge

The missing front tooth: the Hollywood smile, claimable with your health insurance. This is a resin bridge, created with no drilling of enamel. We have been doing this style of work for a while now: one of our patients has one that we did 18 years ago, still going strong!

— Dr Mark Nathan